

Rellene el formulario y se pondrán en contacto con usted.

El transductor XL14-3 xMATRIX incorpora la impresionante cifra de 56 000 elementos, todos ellos conectados a un microcanal independiente. El transductor XL14-3 cuenta con enfoque electrónico multidimensional para adquirir imágenes de cortes ultrafinos de la anatomía vascular y la morfología de la placa. La ventaja principal: una excepcional de diagnóstico fiabilidad durante la evaluación de la estenosis y de la placa vulnerable.


El transductor XL14-3 xMATRIX ofrece una adquisición de imágenes xPlane que supera al sistema convencional para exploraciones vasculares, pues ofrece imágenes en tiempo real tanto en los planos longitudinal como transversal de forma simultánea. La ventaja principal: las imágenes xPlane eliminan la necesidad de girar el transductor para adquirir vistas ortogonales. Basta con mover la esfera para realizar una evaluación anatómica completa, con lo que se ahorra tiempo en la exploración.


El XL14-3 xMatrix también ofrece funciones de Doppler xPlane. El Doppler pulsado xPlane permite una colocación precisa del volumen de muestra mediante Doppler a través de imágenes de referencia longitudinales y transversales. La principal ventaja: el Doppler xPlane reduce los errores de colocación del volumen de muestra y ofrece una mayor reproducibilidad y coherencia a la hora de tomar muestras de estenosis pronunciadas.



Asimismo, el XL14-3 tiene capacidad para visualizar la anatomía en asombrosas imágenes 3D/4D mediante un flujo de trabajo sencillo mediante iconos. Los profesionales clínicos pueden ver el interior de un vaso sanguíneo directamente para evaluar la composición y la ubicación espacial de las placas, además de los datos del flujo 3D para estudiar las anomalías relacionadas con la estenosis o la tortuosidad.


La interfaz de usuario 3D/4D también permite generar un modelo de vaso sanguíneo mediante los datos del flujo. El modelado de vasos sanguíneos 3D permite visualizar el flujo de manera directa para realizar un análisis en profundidad de la estenosis o de anomalías relacionadas con la tortuosidad. La ventaja principal: la visualización 3D/4D de la anatomía vascular ofrece una herramienta de comunicación idónea para facilitar las decisiones clínicas entre los proveedores, y también para mejorar las consultas con los pacientes con el fin de ayudarles a comprender su enfermedad.



El procesamiento de imágenes de última generación de Philips lleva la adquisición de imágenes vasculares a un nuevo nivel, al ofrecer una excelente delineación de los límites de los vasos sanguíneos y una mejor visibilidad de la textura de las placas. Al reducir la difuminación y los artefactos de los vasos sanguíneos, XRES Pro aumenta la fiabilidad del diagnóstico durante la adquisición de imágenes vasculares de los pacientes, incluidos aquellos que plantean dificultades técnicas.



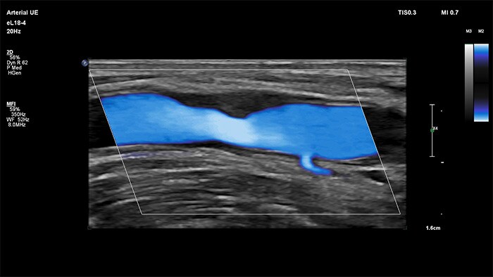
MicroFlow Imaging de Philips se ha diseñado para identificar con una extraordinaria sensibilidad las zonas anatómicas que presentan un flujo sanguíneo lento y débil en los tejidos y, además, mejora la resolución del flujo en las exploraciones vasculares. Gracias a su alta resolución y cantidad mínima de artefactos, los profesionales sanitarios pueden visualizar y caracterizar alteraciones sutiles en el flujo alrededor de la placa estenótica para así elaborar diagnósticos fiables.





Nuestra amplia gama de transductores, ergonómicos y ligeros, está disponible en diversas configuraciones y ofrecen una mejor penetración con un menor número de artefactos. Haga clic en el enlace que se ofrece a continuación para obtener más información acerca de toda nuestra gama de transductores y para descargar instrucciones detalladas acerca de sus cuidados y mantenimiento.

Los avances sin precedentes en el rendimiento de los ultrasonidos de gama alta ayudan a gestionar la gran demanda que soportan los hospitales y sistemas sanitarios, obligados a ofrecer una atención de primera calidad sin dejar de ser rentables. El objetivo sigue siendo el mismo: permitir diagnósticos rápidos y precisos. Los sistemas de ultrasonidos vasculares de Philips le proporcionan a usted y a su equipo de profesionales sanitarios la información y los conocimientos que necesitan. Nuestras soluciones vasculares allanan el camino para que pueda realizar exploraciones sin dificultad y de una manera rápida y uniforme. De esta forma, sentirá una gran seguridad en el diagnóstico, incluso con pacientes que plantean dificultades técnicas.




You are about to visit a Philips global content page
Continue