Como mínimo, se necesitan soluciones que ofrezcan calidad de imagen excepcional y rapidez. Sin embargo, para lograr una auténtica seguridad en el diagnóstico se necesitan datos más profundos que proporcionamos con los protocolos de exploración predefinidos, herramientas de interpretación clínica, una visión integral de los pacientes y ayuda para tomar decisiones en función del campo de la genómica, entre otros. Como resultado, se logran procedimientos y flujos de trabajo más estandarizados, imágenes reproducibles de calidad superior y, en última instancia, una mejor atención al paciente.
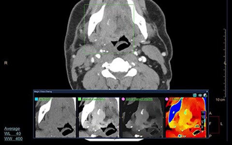
Vea cómo Philips y CARTI trabajan en forma conjunta para ayudar a los pacientes que reciben tratamientos complejos y cómo el escáner de la TC IQon Spectral ha cambiado la forma en que los pacientes reciben el tratamiento.
Para Lahey Health, obtener resultados positivos de imágenes de diagnóstico significa extender la innovación más allá de la tecnología de las “máquinas” tradicionales hacia soluciones integrales que tengan más valor a través de modelos empresariales exclusivos y que generen innovación en cuanto a las mejores experiencias de los pacientes.

La innovación significativa y el factor humano en el cuidado de la salud: Perspectivas de los profesionales de la medicina respecto de las innovaciones de Philips para mejorar los resultados de las imágenes y la atención del paciente.
You are about to visit a Philips global content page
Continue